三田駅近!痛みゼロで
白い歯になる方法
「歯の黄ばみが気になる」
「手軽に白い歯にしたい」なら
dents Blanches SANDAへ!
このページでは、痛みゼロの安全な
セルフホワイトニングの手順を写真付きで
解説します。
さらに実際に施術された
お客様の驚きのビフォーアフターも
ご紹介。
当サロンで、透明感のある
白い歯への第一歩を踏み出しましょう!
セルフホワイトニングの
手順
「セルフですが、初めての方でも安心!
専任スタッフが全てサポートします。」
「最短30分で完了!」
.png)
.png)
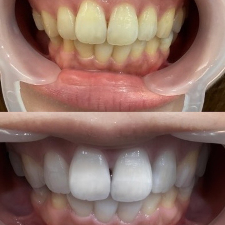
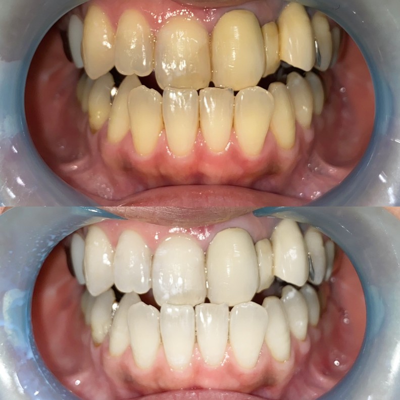
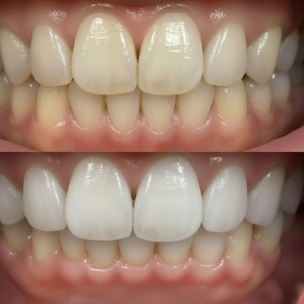
劇的ビフォーアフター

| 【30代/女性】 【喫煙なし/矯正/ 3トーンアップ/施術2回】 |
【本人コメント】 矯正後の歯も、こんなに白くなるなんて感動! |
|---|

| 【30代/女性】 【喫煙あり/8トーンアップ/ 施術7回】 |
【本人コメント】 回数はかかったけど、この真っ白な仕上がりを 見たら納得です!本当に感謝! |
|---|

| 【40代/女性】 【喫煙なし/サブスク/ 12トーンアップ/ 施術10回】 |
【本人コメント】 40代でも諦めなくて良かった。 サブスクでじっくり通って大正解。 |
|---|

| 【20代/女性】 【喫煙なし/5トーンアップ/ 施術4回】 |
【本人コメント】 清潔感のある自然な白さに感動! 周りからも褒められます! |
|---|
結果に個人差はありますが、多くの方が
1日の施術で2〜4トーン程度アップ
されています。
また、週1回ペースで
4回程度連続して施術していただくことで
自分本来の歯の色に戻すことが
できています!