コラム

ホワイトスポットって何?三田のホワイトニング専門店が解説! 更新日:2025.11.26

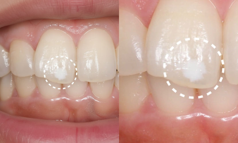
白い斑点「ホワイトスポット」って何?原因とホワイトニングとの関係

はじめに:歯の白い斑点、気になっていませんか?
鏡を見たとき、歯の一部に白っぽい斑点(シミ)があることに気づいたことはありませんか? これは「ホワイトスポット」と呼ばれるもので、見た目に影響するため、特に前歯にあると気になる方も多いでしょう。

ホワイトスポットがあっても「dents Blanches SANDA」のホワイトニングを受けていただけるのか、ホワイトスポットはどうすれば目立たなくなるのか? この記事では、ホワイトスポットの原因から、セルフホワイトニングで目立たなくする方法までを詳しく解説します。

ホワイトスポットの主な原因は2つ
ホワイトスポットは、専門的にはエナメル質の異常によって、光の乱反射が起こり白く濁って見える現象です。主な原因は以下の2つが考えられます。

1. 初期虫歯(脱灰)によるもの

メカニズム: 歯磨き不足などで歯垢(プラーク)が残ると、虫歯菌が出す酸によって歯の表面のミネラル(カルシウムやリン)が溶け出します。この現象を「脱灰(だっかい)」といいます。

特徴:脱灰の初期段階では、歯の内部がスカスカになり光を乱反射するため、白く濁った斑点として現れます。これは虫歯のサインの一つです。進行を食い止められれば、唾液の力などでミネラルが戻る「再石灰化」によって自然に目立たなくなることもあります。

2. エナメル質形成不全によるもの

メカニズム:歯が作られる幼少期に、全身の病気や栄養不足、またはケガなどの影響で、エナメル質(歯の表面の層)がうまく形成されなかったことによるものです。

特徴:生まれつきのものなので、初期虫歯のように再石灰化で治ることはありません。

セルフホワイトニングでホワイトスポットは消える?
ホワイトスポット自体は、セルフホワイトニングの薬剤で「消える」わけではありません。

しかしセルフホワイトニングは、ホワイトスポットを「目立たなくする」方法として有効な場合があります。

ホワイトニングが「目立たなくする」理由

歯全体をトーンアップさせる効果: ホワイトニングでホワイトスポット以外の周りの歯全体を白くすることで、結果的に白い斑点との色の差が縮まり、視覚的にホワイトスポットが目立たなくなります。

一時的に目立ちやすくなることも(ご安心ください): 施術直後は、ホワイトニングの作用や乾燥によってホワイトスポットの部分が一時的に強く白く浮き出て見えることがあります。しかしこれは、一時的なもので、唾液によって歯の水分が戻ると(通常数時間〜数日で)色は馴染み、最終的にはホワイトニングの効果で全体が明るくなるため目立ちにくくなります。

セルフホワイトニングを受ける際の注意点

軽度なものに有効: 周りの歯を白くすることで目立ちにくくなる効果は、比較的軽度なホワイトスポットに期待できます。

気になる方は専門家へ: ホワイトスポットの色が非常に濃い、または凹んでいるなど、気になる場合は、歯科医院での専門的な治療(ICON®(アイコン)治療、ダイレクトボンディングなど)も検討できます。

【ホワイトニング前のポイント】 「dents Blanches SANDA」では、お客様ご自身で施術を行っていただきますが、施術前にホワイトスポットについてご相談いただければ、適切にご案内させていただきます。ご不安な点があれば、お気軽にお声がけください。

まとめ:ホワイトスポットとうまく付き合うために
ホワイトスポットは、多くの方が抱える歯の悩みの一つです。

原因:初期虫歯か、エナメル質形成不全が主。

ホワイトニングとの関係: ホワイトスポット自体は消えないが、歯全体を白くすることで色の差を縮め、目立たなくする効果が期待できます。

「dents Blanches SANDA」のホワイトニングで、歯全体をトーンアップして、ホワイトスポットのお悩みも解消し、輝く笑顔を手に入れましょう!

あなたの「白い歯」のお悩み、私たちにお聞かせください。


三田市・三田で信頼のホワイトニング!歯科医が選んだセルフホワイトニングサロン「dents Blanches SANDA」(ダンブランシュサンダ)


【リンク】

HOT PEPPER BeautyエキテンminimoWHITENING NETONLYONEYahoo!マップ

LOCAPOBizloopサーチInstagramThreadsKireiStyiemyfivestarNAVITIME

つなぐっどなび兵庫YouTubeFacebookGoogle MapGoogle検索self white


【三田市/三田/ホワイトニング】

#三田ホワイトニング #三田市ホワイトニング #ホワイトニング三田 #ホワイトニング三田市 #三田セルフホワイトニング #三田市セルフホワイトニング #セルフホワイトニング三田 #セルフホワイトニング三田市


【キーワード】

ホワイトニング/セルフホワイトニング/トランセント/歯/痛みなし/痛くない/知覚過敏/虫歯/子供/お子様連れ/妊婦/妊娠/過酸化水素/過酸化尿素/漂白/矯正/歯科/トランセント/安い/低価格/短時間/歯を白くする方法/歯磨き粉/定額/サブスク/都度払い/回数券/学割/U24/白い歯/黄ばみ/歯のケア/自分磨き/美容/笑顔/安心/安全/人気/有名店/芸能人/インフルエンサー/有名人/安い/料金/価格/歯医者/おすすめ/セラミック/頻度/効果/ビフォーアフター/差し歯/口コミ/即日/大学生/高校生/小学生/中学生/クリーニング/お手軽/予約が取りやすい/QRコード/コード決済/食事制限/ブライダルホワイトニング/ウェディングホワイトニング/メディア掲載あり/歯科医推奨/歯科医監修/症例多数/エビデンス/CHARION公式認定店


【地域】

三田/三田市/三田駅前/篠山/神戸/神戸北区/岡場/大阪/心斎橋/梅田/尼崎/芦屋/西宮/宝塚/川西/池田/中山寺/西宮北口/三宮/西脇/京丹波/明石/西明石/姫路/六甲/小林/西宮名塩/伊丹/京都/港区