「笑顔に自信が持てない…」




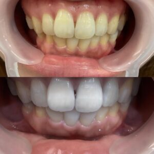
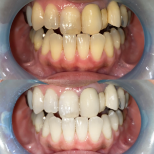
- 長年のコーヒーや紅茶、ワインなどによる着色汚れが目立ち、全体的にくすんだ印象。
- 黄ばみが気になり、人前で口を開けて笑うのをためらってしまう。
- ホワイトニングは初めてで、効果が出るか少し不安そう。
- 全体的にトーンアップし、歯本来の自然な白さと透明感が出ました。
- 歯の表面がツルツルになり、光を反射して輝くような印象に。
- ご本人様も鏡を見て「こんなに白くなるなんて!」と驚きの笑顔に!
- 1回の施術でも効果を実感:当サロンでは、初めての方でも効果を実感しやすいホワイトニングマシンと溶液を使用しています。
- 安心・安全:歯に優しい植物由来のジェルを使用するため、痛みなく、妊婦の方や矯正中の方でも安心してご利用いただけます。
- 完全個室でリラックス:プライベートな空間で、周りを気にせず施術が受けられます。初回はスタッフが丁寧にサポートするので、セルフホワイトニングが初めての方でもご安心ください。
【リンク】
HOT PEPPER Beauty、エキテン、minimo、WHITENING NET、ONLYONE、Yahoo!マップ、
LOCAPO、Bizloopサーチ、Instagram、Threads、KireiStyie、myfivestar、NAVITIME、
#三田ホワイトニング #三田市ホワイトニング #ホワイトニング三田 #ホワイトニング三田市 #三田セルフホワイトニング #三田市セルフホワイトニング #セルフホワイトニング三田 #セルフホワイトニング三田市
ホワイトニング/セルフホワイトニング/歯/痛みなし/痛くない/知覚過敏/虫歯/子供/お子様連れ/妊婦/妊娠/過酸化水素/過酸化尿素/漂白/矯正/歯科/トランセント/安い/低価格/短時間/歯を白くする方法/歯磨き粉/定額/サブスク/都度払い/回数券/学割/U24/白い歯/黄ばみ/歯のケア/自分磨き/美容/笑顔/安心/安全/人気/有名店/料金/価格/歯医者/おすすめ/セラミック/頻度/効果/ビフォーアフター/差し歯/口コミ/即日/大学生/高校生/小学生/中学生/クリーニング/お手軽/予約が取りやすい/QRコード/コード決済/食事制限
三田/三田市/三田駅前/篠山/神戸/神戸北区/岡場/大阪/心斎橋/梅田/尼崎/芦屋/西宮/宝塚/川西/池田/中山寺/西宮北口/三宮/西脇/京丹波/明石/西明石/姫路/六甲/小林/西宮名塩/伊丹/京都/港区
 
       
     
      
     